Dental Implants

Let the MALO dental implants fulfill and complete your life

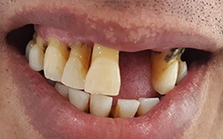
dental implants before
Before
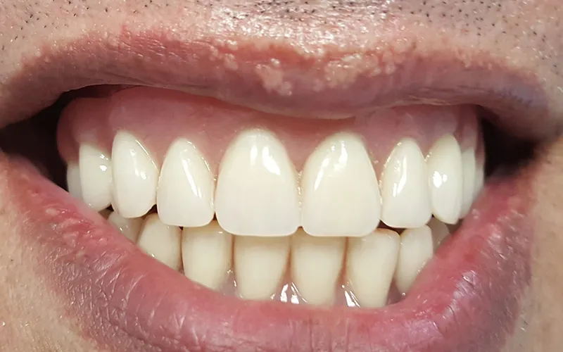
dental implants after
After
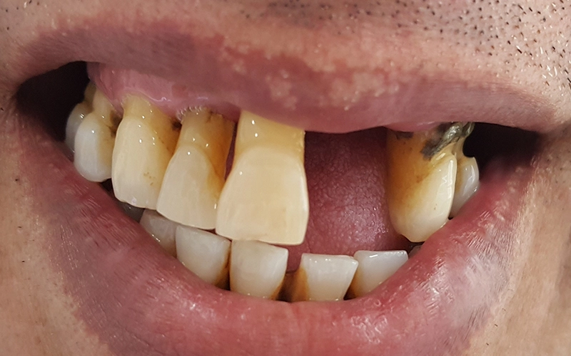
dental implants before
Before
dental implants after
After
dental implants before
Before
dental implants after
After
dental implants before
Before
dental implants after
After

How can dental implants help me?

If you have been missing teeth or have been informed by your dentist that you have hopeless teeth that require extraction, cost cheap dental implants in Thailand can help you replace the roots of your missing teeth.

Missing teeth have severe consequences beyond aesthetics. Dental implants offer you a solution that surpasses removable retainers. With cost cheap dental implants in Thailand, you can achieve a permanent option that restores your smile and confidence.

Dental implants offer you an alternative to have a removable retainer that can affect the way you speak, eat and socialize. Teeth implants Thailand are permanently placed in your jaw bone and you may have caps or dental bridges that are 100% fixed and look and feel as if it was your own natural tooth.

If you are considering dental implants Thailand to improve your quality of life, we recommend that you complete your treatment at any Bangkok Smile Dental Clinic, where you can find affordable and quality dental implants, offered in exclusive partnership with Dr. Paulo Malo’s locations throughout Thailand

Bangkok Smile Dental Clinic is truly the only international dental clinic and as part of a Dr. Paulo Malo’s Global Dental Network, who are internationally recognized as the leading dental implants Thailand innovators in the world, you are ensured the highest quality dental treatment.

Are you ready to find out more?

Please email your inquiry along with some snapshot photos of your teeth to contact@bangkoksmiledental.com One of our customer service agents will get back to us as soon as possible. For immediate inquiries, please call us at +662 105 4288 Or connect with us on Facebook Facebook

More about dental implants

There are many advantages to dental implants compared to conventional dental treatments. Dental implants Thailand can replace a single missing tooth or with 4 of them, it can replace the teeth in an entire jaw. To learn more about All On 4 click on the link.

If you are considering a single or multiple dental implants to replace number of missing teeth in a row. Implants Thailand provides you an alternative conservative treatment compared to a traditional fixed dental bridges. It is conservative as the procedure does not damage the teeth adjacent to your missing teeth and can be done independent from those teeth.

If you are missing a number of teeth, by placing 2 or more dental implants a fixed dental bridge can be installed.

Dental implants can also stabilize removable bridges or dentures by providing support and retention so you can eat your food more comfortably and interact more socially without the need to constantly make trips to the bathroom to clean your teeth during meal times with friends and family.

Implants Dentistry in Thailand

Our dental clinics are well known for implant dentistry since 2003. Our reputation we further enhanced on the international level when we partnered with Dr. Paulo Malo’s global international dental network in 2016 and becoming the first truly international dental center in Thailand.

Our dental specialists consists of prosthodontists, oral and maxillofacial surgeons, periodontists, Implantologists and dental consultants with various international qualifications and accreditations including fellowship and mastership status from International Congress of Implantology (ICOI).

We receive patients from all over the world, including the USA, Canada, Australia, the UK, Singapore, and Europe, who seek to solve their dental problems with cheap dental implants Thailand. The fee structure and high quality of dental treatment are significant factors for many patients traveling to Thailand. To learn more about our patients and the testimonials they give regarding the services they receive in Thailand, please reach out to us.

See our patients’ testimonials

It is about quality of your life style. Do not delay your treatment. Cheap implants allow you to restore your chewing and speech ba.ck to normal Whether you are missing one or all of your teeth, cost of implants Thailand will allow you to enjoy your favorite foods once again and have the confidence you desire for an active professional and social life.

Why you should never ignore a missing tooth?

Losing a tooth (or several/all of them) can severely impact one’s daily life. The consequences of tooth loss can go beyond affecting your appearance and self-esteem; it can actually lead to more serious health issues like bone loss which eventually leads to your gums pulling back thus weakening your other teeth until they collapse. Moreover, this effect on your jawbone and gums may also cause your facial muscles to weaken, not to mention the difficulty in speaking properly, malnutrition due to indigestion. Needless to say, but each and every tooth counts.

Why you should never ignore a missing tooth?
  • Bone loss is stopped when implants are placed and they can’t be damaged by decay.
  • Dental implants in Thailand are bio-compatible; they are made out of titanium that fuses with bone naturally.
  • Implants can stabilize dentures as well and it’s almost impossible to damage them.
  • Implants can improve facial appearance as well as dental function such as biting and chewing.

Book an appointment now

Please email your inquiry along with some snapshot photos of your teeth to contact@bangkoksmiledental.com. One of our customer service agents will get back to us as soon as possible. For immediate inquiries, please call us at +662 105 4288 Or connect with us on Facebook Facebook

Book an appointment now
Book an appointment now

Dental Implants Clinical Question?

Q: What is a dental implant?
A: A dental implant is a titanium screw that replaces the natural root of your tooth, patients can have multiple dental implants if they are missing many teeth. The number and location of those dental implants are determined by the dentist.
Q: Who can get a dental implant?
A: Many people can be considered for a dental implant. Healthy gums and enough bone to hold the implant are necessary. Oral hygiene is also important, some conditions that may destroy dental implants such as heavy smoking, uncontrolled chronic disorders such as diabetes or heart disease. Patients with these conditions can be evaluated on an individual basis.
Q: How long does it take to get dental implant?
A: Dental implant requires multiple visits. It takes time for the implant to attach to the bone, and further time is needed to attach the crown. You will not be able bite as hard as you usually can until the implant has properly fused. Sometime along procedure can take a few months.
 

Contact us now for more information on Dental Implants in Thailand

Bangkok Smile Dental Clinic is a leading choice for dental implants among patients from Australia, New Zealand, and Europe offering expert care, digital precision, and affordable treatment that meets international standards. From single tooth replacements to full-mouth solutions, our team uses world-class implant systems like Nobel Biocare and advanced 3D technology to ensure safe, long-lasting results. With no hidden charges for overseas patients and a clinic designed for comfort and efficiency, your dental implant journey in Bangkok is seamless, reliable, and recovery-friendly.

Dental Implants and Accessories

Implant Units (prices quoted per case & inclusive of surgical and doctor's fees)

Change Currency
Dental Implant
Single Tooth Dental Implant (both surgical and prosthetic parts)
(AstraTech , Zimmer or Hi-Ossen)
Dental Implant
Start from
55,000
(per tooth)
Dental Implant
The Premium Single Tooth Dental Implant (both surgical and prosthetic parts)
Straumann Roxolid / Bone Level
Dental Implant
80,000 - 85,000
(per tooth)
Dental Implant
2 Dental Implants and 1 Overdenture
✔ Conventional Loading (2 trips and 4-6 months apart)
Dental Implant
17,0000
(Per Jaw)
Sinus Lift
35000 - 45000
Per area
Bone Graft
25000 - 30000
Per area
Dental Implant
All-On-4™ with MALO Technique by Nobel Biocare (cost per jaw)
✔ Immediate-Loading in 24 hours
✔ All Composite Teeth on 4 dental implants
✔ Available worldwide
✔ International Patient Guarantee Program
(Until September 30, 2025 only )
Straumann Roxolid Straumann Roxolid
Start from
270000
Promotion from : 350000
Dental Implant
All-On-4™ with MALO Technique Immediate-Loading in 24 hours
✔ World-class implants trusted by worldwide range
✔ 5-Year guarantee for dental implants
✔ Full acrylic dental bridge on 4 dental implants (guaranteed for 6 months)
✔ Available worldwide
Dental Implant
320,000
(Cost Per Jaw)
Dental Implant
All-On-4™ with MALO Technique (Immediate-Loading in 24 hours)
✔ 5-Year guarantee for dental implants
✔ Full acrylic dental bridge on 4 dental implants (guaranteed for 6 months)
✔ Available in around 75 countries
Dental Implant neobiotech
270,000
(Cost Per Jaw)
Dental Implant
2 Zygoma™ Implants with MALO Technique
✔ Immediate Loading in 24 hours
✔ 2 Zygoma and 2 Dental Implants for severe bone loss of the upper posterior
✔ All Composite Teeth on 4 dental implants
(By Request)
Dental Implant
4 Zygoma™ Implants with MALO Technique
✔ Immediate-Loading in 24 hours
✔ 4 Zygoma Implants for severe bone loss of the upper posterior
✔ All Composite Teeth on 4 dental implants
(By Request)
More
More Link

Cost Implants Bangkok, Cheap Implants Bangkok